Онлайн-консультация

[JW Plastic Surgery Korea] Hello~ I’m old but i would like to look YOUNG!!

Hello This is Mrs. Park
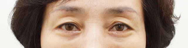
I had major problem with HUGE Saggy bag Under my eyes
It started sagging a lot and look really tired normally
so I wanted to get changed by performing Lower Blepharoplasty
I searched a lot from online about the plastic surgery clinic and plastic surgeon who is best from seoul area.
There were so many of clinics and surgeons out there, so it took me
pretty good amount of times to search who is suitable clinics and surgeons for my case
 
I searched so many of keys words from google such as
Best eye surgeon in korea
best plastic surgeon in korea
Seoul Plastic surgery center
Costmetic surgery in Korea
etc..
too many to write it down so i will pass other key words lol
So My final clinic was JW Plastic Surgery Center
There were many reasons Why I have chosen this clinic
because I could trust surgeon and surgery center
little bit high but reasonable prices, Doctor Choi could speak english fluently, in-house translator, in-house anesthesiologist, and heard that no shadow doctor!!!(one of most important)
 

[ These Pictures are Before Op]

[These are After Op Pics]

What you guys think??
I think my sagging or eye bags are improved a lot
Don’t you guys think that I got so much younger after the surgery done??
I’m so satified with my current results!!!!!

If you guys are thinking about or having same problem I had
do not hesitate and go for it!!

 

What’s app or kakaotalk id: jwbeauty777 / jwps /jwbeautykr


www.jwbeauty.net

 

www.jwbeautykorea.blogspot.com

 

 

+82-10-5768-5114/+82-10-6389-5114/+82-10-7195-5114