
Это хирургический метод, при котором аномальная нижняя и верхняя челюсть, выступающие или отступающие подбородоки асимметрично обрезаются и фиксируются вместе.
У тех, кто нуждается в двойной хирургии челюсти, обычно возникают проблемы с контуром лица, но помимо этого возникают такие проблемы, как аномальные зубы, дискомфорт при жевании и приеме пищи и неисправность челюстной кости.
Двойная операция на челюсти фиксирует не только эстетическую сторону лица, но и функциональную часть челюсти и подбородка. Операция с низкой челюстью включает в себя разрез внутри рта и верхней челюсти, есть два разных метода операции: SSRO и IVRO.

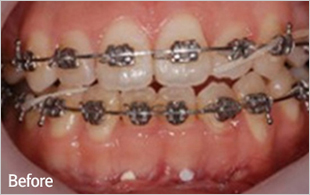
Процесс выполнения операции на двойную челюсть меньше чем приод ношения брекетов. Для предыдущих операции на двойную челюсть необходимо было носить брекеты полтора года, но теперь мы можем выполнить операцию на двойную челюсть, до установки брекетов.
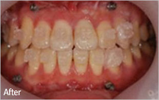
Сокращение периода общего лечения путем установки брекетов после операции
Может выполняться операция двойной челюсти, если пациент захочет
Моментальное изменение внешнего вида
Предотвращение «Фонарной челюсти»
Обычно есть потребность в фиксации на 2-6 недель, но клиника пластической хирургии JW может выполнять операцию двойной челюсти очень легкой фиксацией верхней челюсти и нижней челюсти с помощью позиционирования в нужном месте
Дыхание будет легким после операции
Прием пищи возможно после операции
Возможность разговаривать сразу после операции
Можно вернуться в повседневную жизнь после операции




Такая операция требует пристального внимания, потому что степень осложнений, таких как кровотечение, инфекция и воспаление, может быть разной у каждого человека.
Хирург JW, специализирующийся на коррекции контуров лица, проводит операции опираясь на ноу-хау технологии и опыту, а также стремясь достичь наилучших результатов с помощью медицинских исследований.